时间:2025-12-31 来源:本站 访问量:1001
近日,陈玉国、李传保教授团队迎难而上,成功救治了一位病情极度复杂的患者。该患者患有Type 0型二叶式主动脉瓣畸形,不仅存在重度钙化的严峻挑战(钙化积分:883.3mm³),同时合并升主动脉扩张、横位心及胸主动脉严重迂曲,手术难度高,风险大。凭借精湛的医术与周密的术前预案,团队成功完成了ProStyle A®预装干瓣的全国首批临床植入。术后效果立竿见影:瓣膜释放精准稳定,患者的平均跨瓣压差从术前的105mmHg降至16mmHg,心功能得到显著改善,生命威胁得以解除。此次手术的成功,不仅是国产创新器械在复杂病变领域的关键一步,更体现了山东大学齐鲁医院急诊科在心血管急危重症领域的救治能力。
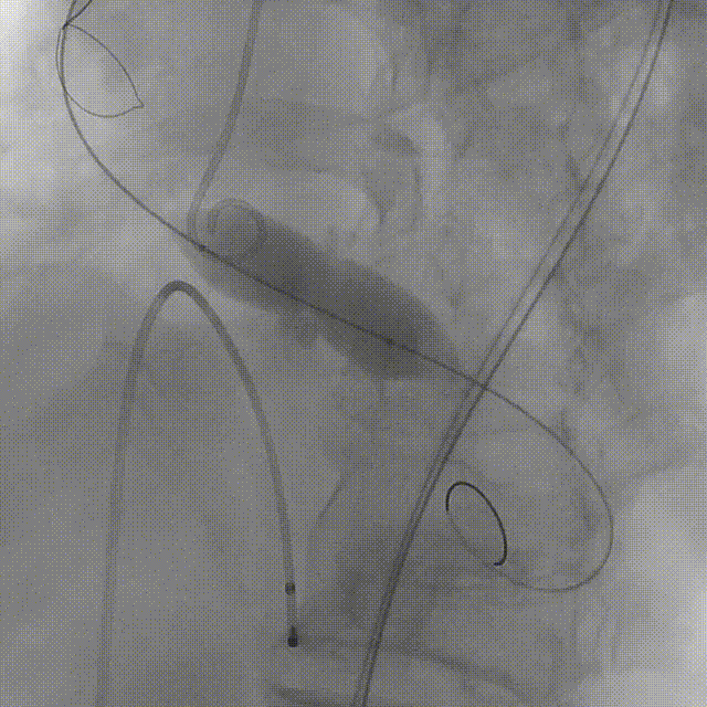
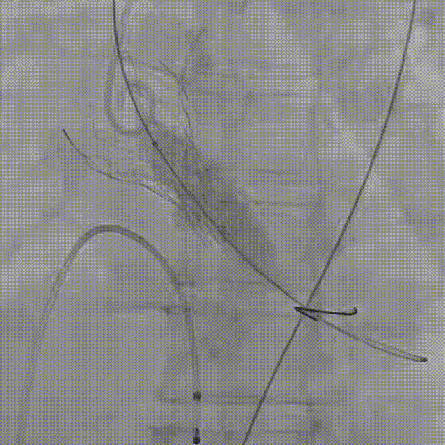
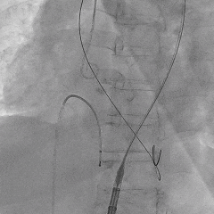
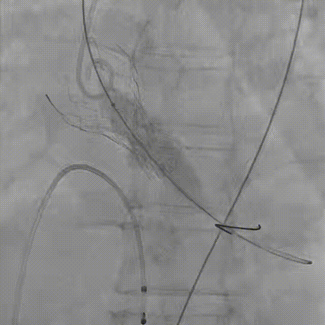
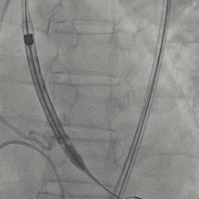
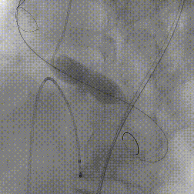
患者病史 主诉:发作性胸闷憋喘半年,加重伴呼吸困难2周。 现病史:患者半年前无明显诱因出现胸闷、憋喘,伴有下肢水肿,2周前上述症状明显加重,夜间不能平卧,痰中带血丝,为进一步诊治再次来我院,门诊以"心力衰竭"收入院。 既往史:肾功能不全、心房颤动 心脏超声提示:LVEF:0.54 1.主动脉瓣病变;2.主动脉瓣狭窄(重度)并反流(中度);3左室壁节段性运动不良;4.升主动脉扩张、双房扩大、左室肥厚;5.二尖瓣硬化并反流(中度);6.三尖瓣反流(轻-中度);7.肺动脉瓣反流;8.肺动脉高压(轻度)PGmean=105mmHg,Vmax=635cm/s,瓣口面积0.27cm²。 术前CT评估 Type0型二叶瓣,重度钙化,钙化集中在瓣叶游离缘,右冠窦为著;左冠高度11.8mm,由于左冠窦部空间较小,左冠风险较高, 升主动脉扩张,最宽处50.5mm;主动脉瓣环水平夹角61.5°,横位心。主动脉弓角77.6°,锐角弓,外周入路在腹主及髂总处有大量散状钙化,胸主处有81.6°的迂曲。 手术策略 推荐右侧股动脉为主入路,左侧股动脉为辅入路,送snare辅助过弯,使用18F大鞘,推荐预装ProStyle A® AV23瓣膜,20mm球囊预扩,初始定位对齐真实瓣环瓣上5mm超高位初始定位释放,释放过程中使瓣膜自然下滑,到工作位观察瓣膜形态,最终理想位置0-瓣下3mm。 手术过程 Step1:右侧股动脉为主入路、左侧股动脉为辅入路,成功穿刺并送入 18F 大鞘; Step2:主动脉根部造影,瓣口限制重 Step3:Type 0 型二叶瓣畸形合并重度钙化,患者瓣口狭窄严重,同时横位心,不仅导丝跨瓣困难,导管更难进入;术者凭借精湛操作,将导丝顺利跨瓣,反复微调导管角度,最终导管顺利过瓣。 导丝精准跨瓣 Step4:20mm球囊跨瓣困难,snare辅助下球囊成功跨瓣,预扩有腰无漏,冠脉充盈良好。 Step5: snare辅助下成功跨瓣,可以看到系统过弓形态瓣膜仓柔软,过弓顺滑 输送系统过弓 Step6:初始定位瓣上5mm开始释放,释放部分后观察瓣架下缘内收明显,后回收系统重新定位 初始定位 底部内收 Step7:瓣膜完全释放前,血压一度降低,术者迅速调整器械,实现瓣膜迅速锚定,快速释放 完全释放 Step8:20mm球囊后扩 最终造影,位置(瓣下3mm)形态良好 手术难点 患者不仅有主动脉瓣重度狭窄,还叠加肾功能不全、心房颤动等基础疾病,术中血流动力学波动极易引发心功能衰竭。ProStyle A® 预装干瓣“开包即用” 的特性压缩了术者操作时间,80%可回收设计给了术者容错空间,而这些看似难以逾越的难关,最终被团队精湛的医术一一化解,术中对于导丝、导管、球囊等器械每一步的精准操控,再到突发状况的从容处置,无不彰显着团队深厚的专业积淀与顶尖的操作技艺。 结语 此次手术的圆满成功,不仅彰显了陈玉国、李传保教授团队在复杂结构性心脏病介入治疗领域深厚的专业造诣与攻坚克难的决心,也充分验证了ProStyle A®系统在应对复杂高难度病例时的卓越适用性与有效性。 作为扎根齐鲁、享誉全国的医疗高地,山东大学齐鲁医院始终赓续着这片热土的仁厚文脉,将“医道从德,术业求精”的院训精神镌刻在每一次诊疗实践之中。特别是在结构性心脏病诊疗领域,医院团队始终怀揣医者担当,勇攀医学高峰,不断以更前沿的技术突破,为危重患者点亮重获新生的希望。 专家简介 陈玉国 山东大学齐鲁医院(点击查看专家详细简历) 李传保 山东大学齐鲁医院(点击查看专家详细简历) · END ·

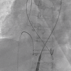
根部造影







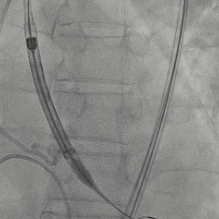
最终造影


