时间:2025-12-31 来源:本站 访问量:1001
近日,山东大学齐鲁医院谷兴华教授团队联合心内科专家采用局麻下“TAVR+PCI同期一站式手术”模式,成功为一名合并多重基础病的主动脉瓣+冠脉双重病变患者,完成全球首款预装干瓣ProStyle A®的全国首批临床植入,也是山东省首例应用该款瓣膜的TAVR+PCI。手术一次性解决患者重度主动脉瓣狭窄和冠状动脉多支病变的难题,不仅为患者重塑“心脉生机”,更体现了我国复杂心血管疾病一体化诊疗迈入“预装干瓣”精准治疗新阶段。

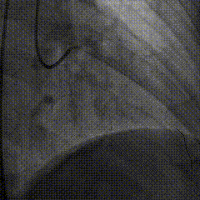
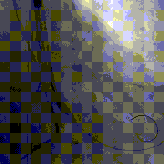
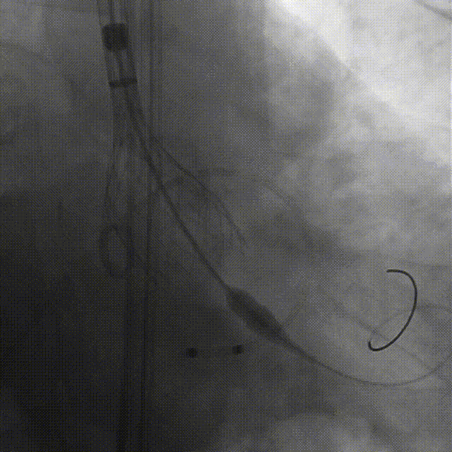
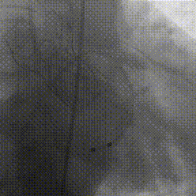
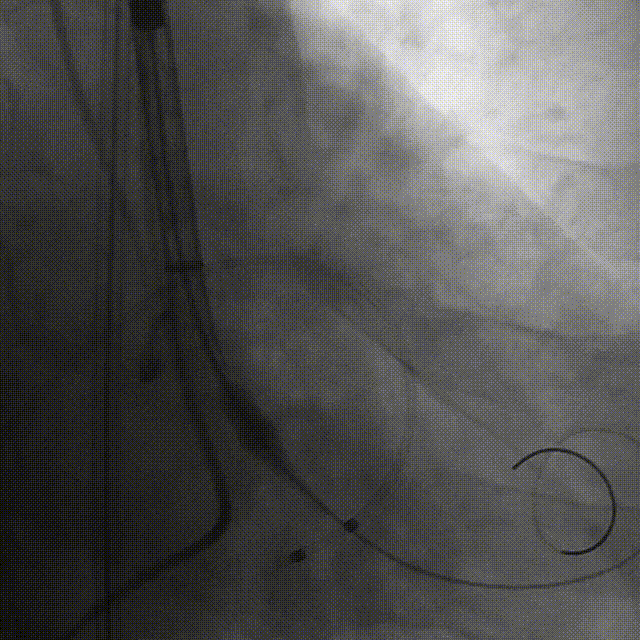
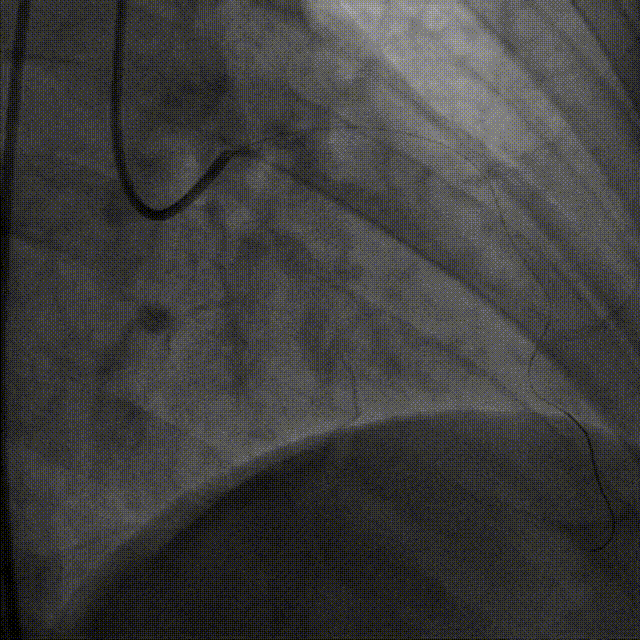
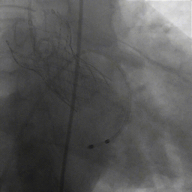
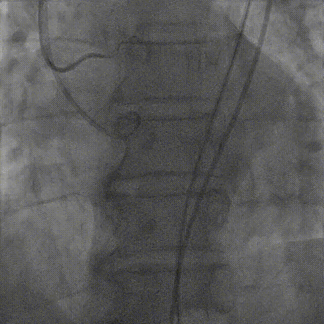
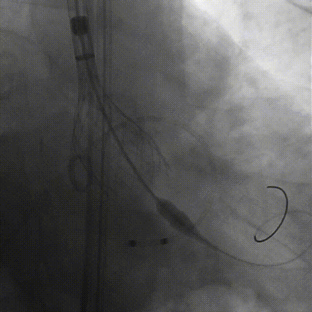
谷兴华教授 山东大学齐鲁医院 锚定终身获益,重视首次干预选择:心脏瓣膜病介入中心成立2年多来,中心核心目标始终保证在解决即刻病症的基础上,护航患者的全生命周期健康管理。 摆在眼前的实际是日益年轻化的患者群体,这意味着我们从手术伊始,就必须将患者未来数十年的生活质量和再次干预风险纳入核心考量,主动规划长远的健康路径。此次患者选择更具耐久的新型干瓣技术,力求减少患者未来再次干预的风险。同时,通过“TAVR+PCI一站式手术”这样的团队协作模式,系统性地处理多重心血管问题,避免分次手术的负担与风险,这正是我们中心一直秉持的“心脏瓣膜病全生命周期管理”理念的实践。让我们一起探索从“治已病”真正迈向“管长远”,让更多的患者获益! 病例特点速览 本次救治的患者,病情呈现“基础病交织、多病变叠加、锚定风险高”三大核心特征。患者为65岁,女性,病变特点TypeI型二叶瓣、轻度钙化,锚定风险大;同时患有冠状动脉粥样硬化性心脏病、慢阻肺(COPD);既往有长期吸烟饮酒史、脑梗死病史、高血压病史、乙肝小三阳病史及腹股沟疝修补手术史,患者STS评分9.32%,外科手术高危,经齐鲁医院瓣膜中心团队评估认为:局麻下“一站式TAVR+PCI”为最优治疗方案,结合患者较年轻,可选择具有长期耐久性的干瓣。 患者病史 主诉:活动后胸闷、憋喘余,加重20余天 既往史:30年前确诊乙肝小三阳,否认其他传染病史;有右腹股沟疝修补手术史,高血压病史,近期规律服药控制。 现病史:患者1年前出现活动后胸闷、憋喘,休息可缓解,为进一步诊治。2月前因“突发意识模糊、口齿不清”于当地医院入院,诊断为“急性脑梗死”,予以微创介入取栓治疗,恢复可,未遗留后遗症。20天前于当地医院再次入院行脑血管支架植入术,术后出现胸闷、憋喘,伴大汗,行心脏超声提示主动脉瓣重度狭窄,并行冠脉造影检查,予以药物治疗。10天前就诊于我院复查心脏超声提示二叶式主动脉瓣,主动脉瓣狭窄(重度)并反流(轻度)。患者现仍感胸闷,双上臂疼痛不适,咳嗽咳痰,日常活动受限。为行进一步治疗就诊于我院,门诊以“主动脉瓣狭窄、冠状动脉粥样硬化性心脏病”收入院; 个人史:吸烟50年,饮酒50年; 体格检查:体温:36℃,脉搏:67次/分,呼吸:18次/分,血压:143/76mmHg; 术前超声提示: 二叶式主动脉瓣主动脉瓣狭窄(重度)并反流(轻度);升主动脉扩张、左心扩大三尖瓣反流(少量);左室充盈异常;CW测最大压差86mmHg,平均压差43mmHg,最大血流速度463cm/s,连续方程法估测主动脉瓣口面积0.78cm² 术前CT评估 Type1型二叶瓣,轻度钙化、左右融合,主动脉瓣环径25.3mm,LVOT直径25.5mm,鱼嘴空间约26.6mm,主要靠瓣环锚定。窦部空间大、左右融合,VTC空间足够,无冠脉风险 ;左室内径正常,主动脉瓣环水平夹角49.6°。外周双侧入路内径可,髂外动脉存在散在钙化、双侧入路能够支持20F大鞘通过,右股低分叉,主动脉弓距弓角可。 个性化手术策略:局麻一站式方案+创新瓣膜精准适配 入路选择:主入路:右侧股动脉(右股分叉上方1cm处穿刺);辅入路:左侧股动脉;器械:20F大鞘; 手术流程规划:局麻下行同期一站式TAVR+PCI,植入ProStyle A®预装干瓣; 瓣膜选型与预处理:瓣膜型号:ProStyle A® AV32;不预扩; 定位与释放方案:初始定位:瓣上3mm处释放,瓣膜自然下滑至工作位,最终目标“0-瓣下5mm位”。 手术过程:局麻一站式操作+创新瓣膜植入,无缝衔接 手术团队按预设方案稳步推进,实现TAVR、PCI与ProStyle A®干瓣植入的无缝衔接: 1.术前准备:完成影像评估、血管通路建立,确认ProStyle A® AV32瓣膜状态; 2.PCI治疗:通过主入路完成左冠造影,前降支、对角支明显狭窄,精准植入两枚支架,恢复冠脉血供; 左冠造影,前降支、对角支病变 PCI后造影,病变血管充盈良好 3.主动脉根部造影:确认主动脉根部解剖结构,并精准跨瓣; 主动脉根部造影 精准跨瓣 4.干瓣植入:将瓣膜输送过弓、过瓣,并精准定位; 输送系统柔顺过弓 精准定位 5.术中评估:释放瓣膜至工作状态,再次造影评估,位置满意,完全释放瓣膜; 工作位评估 32号瓣膜稳定脱钩 6.释放后造影:可见瓣膜位置满意、形态良好,无明显瓣周漏。 最终造影,位置形态良好,无瓣周漏 术后超声探查:位置(瓣下4mm)、形态良好,无瓣周漏,PGmean=10mmHg。 此次手术的成功,体现了山东大学齐鲁医院心脏瓣膜病介入中心秉承的“心脏瓣膜病全生命周期管理”的理念和团队协作的临床能力。面对低龄高风险复杂病例,团队通过术前充分评估、术中精细操作,结合具有长期耐久性的干瓣技术,以一站式方案改善患者症状、提高生活质量并延长寿命,为类似病例的诊疗提供宝贵经验。 专家简介 谷兴华 山东大学齐鲁医院(点击查看专家详细简历)












