时间:2025-12-31 来源:本站 访问量:1001
以患者为中心,以创新为引擎”,这一深植于武汉亚洲心脏病医院发展脉络的核心文化理念,始终指引着医院在结构性心脏病诊疗领域不断突破边界。近日,武汉亚洲心脏病医院宋丹主任团队成功完成全球首款预装干瓣 ProStyle A®的全国首批临床植入,以实际行动践行“让创新器械惠及更多患者”的使命,为结构性心脏病介入治疗写下崭新篇章。
此次手术面对的患者病情极具挑战性,患者主动脉瓣中度狭窄并重度关闭不全,钙化较少,瓣膜锚定难度极大;传统介入瓣膜易出现释放后移位风险,对手术方案设计与器械选择提出极高要求,宋丹主任团队凭借精湛医术与周密预案精准完成瓣膜释放。此次手术也成为国产创新器械——全球首款预装干瓣ProStyle A®与临床智慧深度融合的重要里程碑,为更多病情复杂的主动脉瓣疾病患者带来了新的耐久希望,也为我国结构性心脏病诊疗技术的创新发展注入了强劲动力!

宋丹教授
用更安全、更方便、更快捷的方式治疗患者
免戊二醛残留,干瓣助力诊疗长期耐久性探索
随着TAVR的发展及产品的更新迭代,我们始终期待能有更多兼顾术前准备、术中操作及术后即刻和长期安全有效的创新产品。在TAVR手术的术前器械准备环节,传统戊二醛处理瓣膜的残留清洗一直是临床的一大顾虑。相信很多同仁都有过这样的纠结:清洗时间到底够不够?是否可以将残留的戊二醛彻底洗净?如果无法洗净,无形中增加了患者术后炎症反应和远期耐久性的影响。
预装干瓣的问世为临床提供了新思路,我们关注的一大突出优势就是无需进行戊二醛残留清洗,从器械制备源头规避了这一临床痛点。这既简化了术前器械准备流程,更从根本上降低了戊二醛残留引发的各类并发症风险,为患者的围术期安全与远期预后筑牢了又一道防线;此外,急诊等紧急场景下,很难保证充足的清洗时长,残留风险会进一步升高!
新技术的数据积累给到了临床参考与信心,期待行业持之以恒的数据随访,共同探索耐久性的解决方案!
患者病史
主诉:胸闷8年余
现病史:患者2017年3月开始间断无诱因发作胸闷,每次感觉胸骨中段后一拳头范围受压迫,不向他处放射,不伴头昏、出汗、乏力、心悸、咳嗽、喘气、恶心、反酸、呕吐、腹痛、黑朦或晕厥,持续数分钟至数十分钟不等,当时来我院住院,查心脏彩超提示“主动脉瓣轻度狭窄并轻度关闭不全”,接受冠脉造影提示冠状动脉粥样硬化,2025年6月29日复查心脏彩超提示“主动脉瓣中度狭窄并中-重度关闭不全、二尖瓣轻-中度反流”,近1月再次上述胸闷,今为进一步诊治再次来我院,门诊以"冠心病"收入院。
既往史:4年前曾发现血压升高,最高达188/103mmHg,未坚持药物治疗。3年前确诊2型糖尿病,目前服用西格列汀、二甲双胍。有高脂血症病史。
入院术前超声提示:主动脉瓣钙化、中度狭窄并重度关闭不全(考虑老年退行性变);二尖瓣中-重度反流;左心扩大;升主动脉增宽;室间隔明显增厚;左室舒张功能减退。
峰值流速:3.4m/s,峰值压差:46mmHg,平均流速:2.2m/s,平均压差:23mmHg;左室流出道侧见重度反流信号,流颈宽度0.7cm;PISA法测得有效反流口面积0.33cm²,反流量111ml。

入院诊断:1、心脏瓣膜病主动脉瓣狭窄伴有关闭不全,心功能Ⅱ级(NYHA分级)2、冠状动脉粥样硬化3、高血压3级4、2型糖尿病5、高脂血症。
术前CT
反流为主,三叶瓣右无部分融合,轻度钙化存在融合脊,主动脉瓣环径26mm,LVOT直径25mm,瓣上限制轻。双侧冠脉开口高度可,瓣叶长度小于冠脉开口上缘到主动脉根部的距离,窦部空间较大。左室内径正常,主动脉瓣环水平夹角56.7°;外周双侧入路内径可,髂外动脉存在散在钙化,右股低分叉,主动脉弓距弓角可。

手术策略
右侧股动脉为主入路,预装Prostyle A®AV32主动脉瓣膜,使用20F大鞘,不预扩,建议最终理想释放位置0-瓣下2mm;
手术过程
在右股动脉穿刺建立通路后,顺利送入大鞘,经食道超声及血管造影确认路径稳定,将ProStyle A®AV32号瓣膜精准释放于目标位置(瓣下2mm),超声显示无瓣周漏,平均跨瓣压差11mmHg,心功能明显改善,患者生命体征平稳。

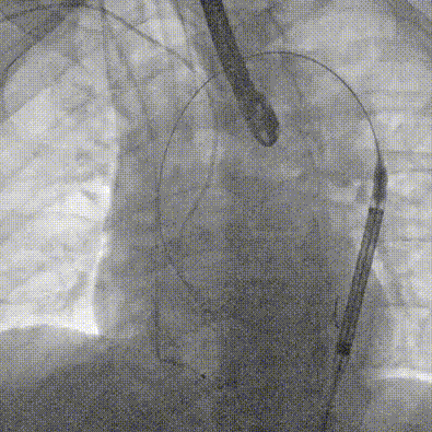
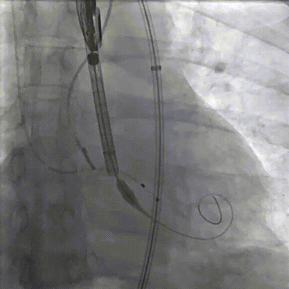
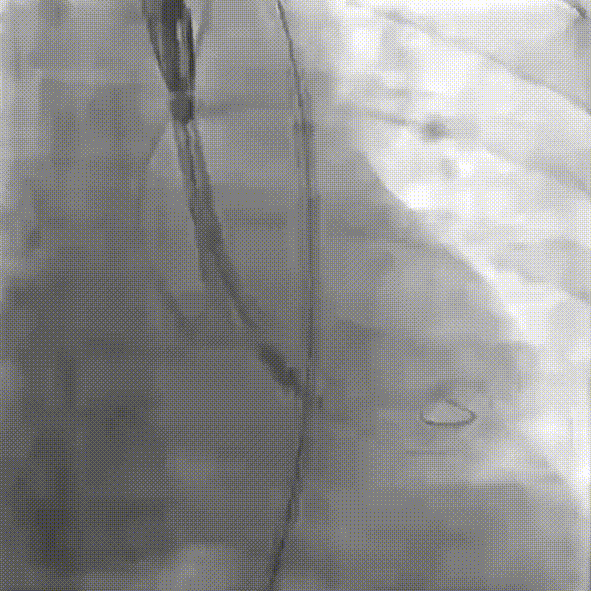
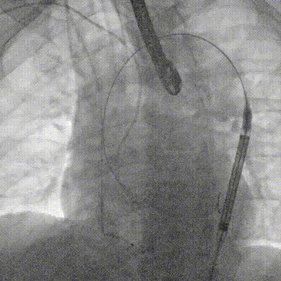
主动脉根部造影

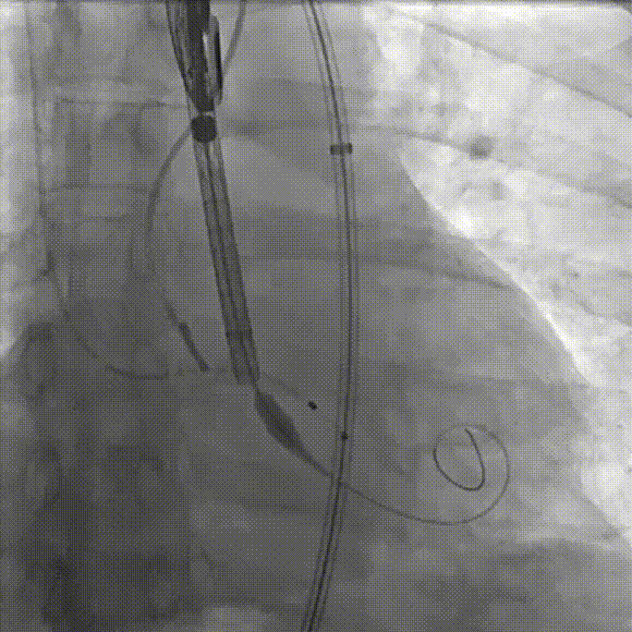
输送系统柔顺过弓

定位

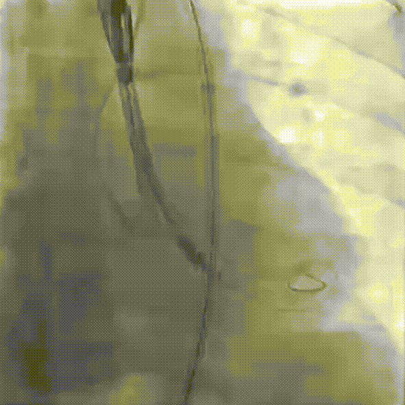
迅速锚定释放至工作位

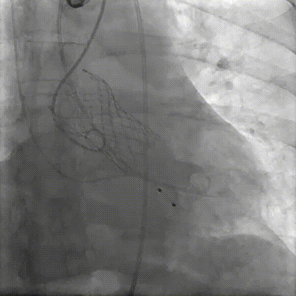
稳定脱钩

最终造影,位置形态良好
术后超声
瓣膜位置固定良好无位移,瓣下2mm,平均跨瓣压差11mmHg,显著降低至,瓣周无反流;
Prostyle A®预装干瓣——助力临床最优化解决方案 1、预装干瓣 便捷顺安:金仕生物专利抗钙化技术运用纳米技术去除组织内的细胞碎片和磷脂,封闭游离醛基,从根本上阻断了瓣膜钙化的多项因素,显著提升了瓣膜的耐久性;同时,相比较传统戊二醛保存方式,干式存储最大限度的保留心包的亲水亲油平衡,还原组织天然曲柔性,进一步保障了瓣叶开合,保证长期耐久性; 2、80%可回收设计,精准释放:底部桶状设计更易迅速锚定,对于复杂解剖结构的患者,80%可回收功能提供更充分的调整窗口,显著提升释放安全性与精准度,协同释放张力小,助力最终精准释放 3、过弓柔顺:较短的支架长度、较细的输送系统直径(内连鞘版本最小尺寸等效14F大鞘)联合远端亲水涂层,显著提升输送系统通过性,有效减少血管并发症的发生; 专家简介 宋丹 武汉亚洲心脏病医院(点击查看专家详细简历) 徐承义 武汉亚洲心脏病医院(点击查看专家详细简历) 郭卉 武汉亚洲心脏病医院(点击查看专家详细简历) · END ·


