时间:2025-12-31 来源:本站 访问量:1001
当罕见病与高危心脏手术狭路相逢,一次技术创新与精准医疗的碰撞,为特殊患者群体点亮生命之光!血友病作为一种遗传性凝血功能障碍疾病,患者体内缺乏特定凝血因子,轻微创伤即可引发严重出血,而心脏介入手术本身存在血管损伤、组织出血的风险,这使得血友病患者的瓣膜置换治疗陷入“治则出血、不治则心衰”的两难境地……
近日,西安交通大学第一附属医院心内科袁祖贻院长、韩克教授团队成功应用全球首款预装干瓣 ProStyle A®成功完成首例血友病合并主动脉瓣二叶式畸形重度狭窄患者 TAVR 手术,本例血友病患者TAVR治疗的成功,不仅彰显了西安交通大学第一附属医院心脏团队在复杂结构性心脏病介入治疗领域的精湛技术与多学科协作能力,创新预装干瓣更为临床特殊患者群体开辟了安全有效的治疗新路径!
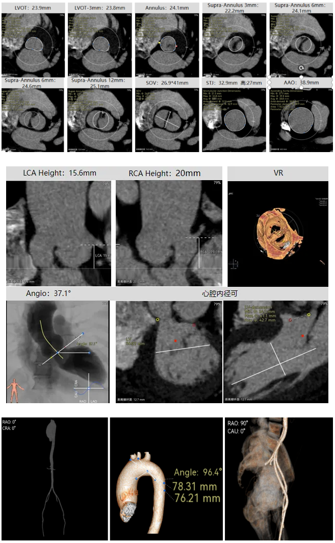
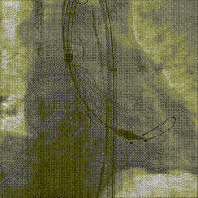
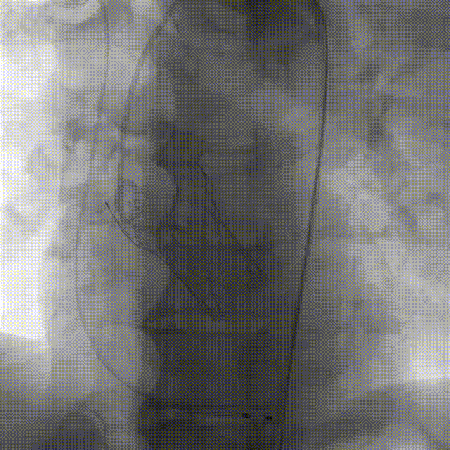
袁祖贻院长 西安交通大学第一附属医院 创新见证中国领跑,数据积累筑牢临床效果 韩克教授 西安交通大学第一附属医院 干瓣技术革新赋能特殊人群治疗,“量体裁衣”筑牢安全防线 患者病史 主诉与现病史:5年前因"血友病,血尿”就诊于当地医院,住院期间行心动超声提示主动脉瓣及二叶瓣畸形,无胸闷气短,无胸痛,咳嗽咳痰,无头晕,恶心呕吐等不适。未予以干预,后规律复查心超,3周前复查心超提示:主动脉瓣二瓣化畸形并重度狭窄,升主动脉内径明显增宽。 既往史:确诊血友病A型40年 术前超声提示:先天性主动脉瓣二叶式畸形,主动脉瓣中度狭窄,升主动脉增宽,左室舒张功能减低,EF73% 术前CT:Type0型二叶瓣,瓣叶增厚无钙化,主动脉瓣环径24.1mm,LVOT23.9mm;双侧冠脉开口高度可,窦部空间可,STJ、升主动脉内径可;预估冠脉低风险;主动脉水平夹角37.1°,主动脉弓角、弓距可;左室内径可;外周入路无明显迂曲,无钙化;双侧股动脉内径可,右侧股动脉低分叉。 手术策略 推荐右侧股动脉为主入路,左侧股动脉为辅入路。右股分叉上方1mm穿刺;仅舒张期时相,需根据球扩结果评估瓣膜尺寸,推荐使用18mm球囊进行预扩;预装AV26瓣膜。 手术过程 在右股动脉穿刺建立通路后,顺利送入大鞘。18mm球囊预扩后评估无腰无漏,后将Prostyle A® AV26瓣膜精准释放于目标位置,术后即刻造影显示无明显反流,无瓣周漏,平均跨瓣压差由术前的100mmHg降至2mmHg,患者血流动力学显著改善,术后超声证实瓣膜启闭良好。 主动脉根部造影 18球囊预扩 定位 稳定释放后脱钩 最终造影形态位置良好 外周血管造影,无血管并发症 术后超声显示无生物瓣位置固定瓣膜功能正常,无瓣周漏。 Prostyle A®预装干瓣——助力临床最优化解决方案 流入端桶状设计:流入端桶状的设计,锚定迅速,有效减少释放步骤,提升植入稳定性; 平衡的收腰设计:二叶瓣患者对瓣膜径向支撑力提出更高要求,Prostyle A®均衡的收腰设计可更好适应二叶瓣解剖,保证了EOA,有效降低了循环崩溃风险,提高瓣膜的耐久性; 预装干瓣 便捷顺安:金仕生物专利抗钙化技术运用纳米技术去除组织内的细胞碎片和磷脂,封闭游离醛基,从根本上阻断了瓣膜钙化的多项因素,显著提升了瓣膜的耐久性;同时,相比较传统戊二醛保存方式,干式存储最大限度的保留心包的亲水亲油平衡,还原组织天然曲柔性,进一步保障了瓣叶开合,保证长期耐久性。 专家简介 袁祖贻 西安交通大学第一附属医院(点击查看专家详细简历) 韩克 西安交通大学第一附属医院(点击查看专家详细简历) · END ·
结构心脏病介入领域,中国已实现从进口瓣膜垄断到国产化蓬勃发展的跨越。器械研发紧贴临床需求,从可回收技术突破到聚焦耐久性升级,步步坚实。预装干瓣的问世,正是中国核心瓣膜技术的又一里程碑。它立足国人解剖特点,突破传统湿瓣局限,以自主干瓣工艺与抗钙化技术,全力追求临床安全、耐久与便利的三重提升。创新需数据护航,期待这款中国原创TAVR干瓣积累更多临床证据,为临床实践提供更坚实的参考!
国产 TAVR 产品的技术创新正迈向 “更安全植入、更有效治疗、更耐久应用” 的效能提升新阶段,而术前综合评估与个体化策略制定始终是核心前提,就此例血友病合并高危瓣膜病患者,术前定制“零出血”策略: 协同血液科专家优化凝血功能,制定术前、术中、术后的个体化替代治疗方案,确保手术全程凝血功能处于安全范围。此外选择最适配的器械并明确术中操作要点,进一步减少术中出血因素。相信创新的预装干瓣的耐久,能够助力患者的全生命周期管理!










