时间:2025-12-31 来源:本站 访问量:0
近日,南昌大学第一附属医院心内科彭小平教授团队成功开展了全球首款、全国首批、江西首例预装干瓣ProStyle A® 的临床应用,为一名二叶瓣Type0型、小心室患者顺利实施了经导管主动脉瓣置换术,主动脉瓣二叶瓣畸形患者在我国占比较多,该患者因解剖结构复杂,传统瓣膜植入面临更高风险与不确定性。ProStyle A®平衡收腰及环上瓣的设计,有效适应此类患者的解剖特点,显著提高患者的EOA,较优异的血流动力学大大降低了瓣膜衰败的概率,以 “更耐久” 的技术优势,为患者的心脏健康注入新希望!

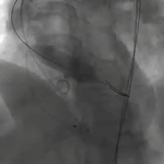
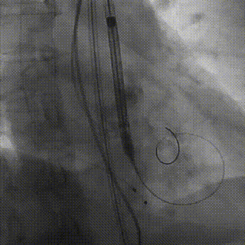
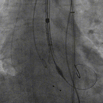
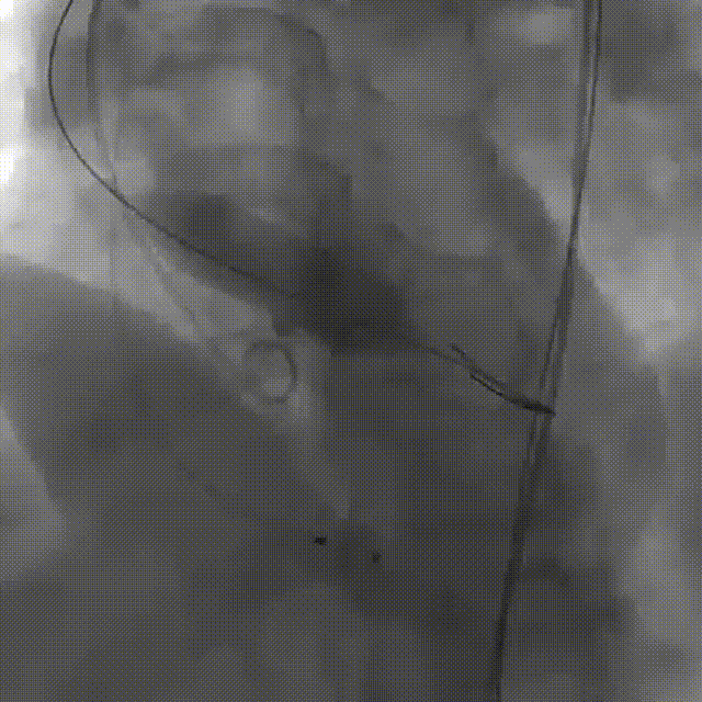
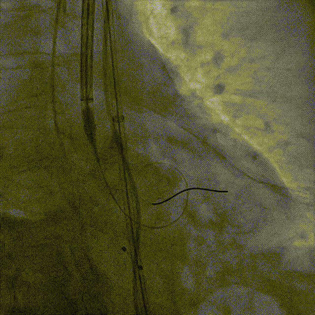
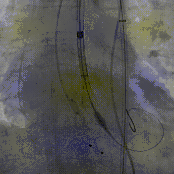
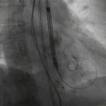
彭小平教授 南昌大学第一附属医院 不断探索医疗可能,筑牢患者长期保障 TAVR 治疗的终极目标,不仅是完成一次手术,更是为患者构建长期稳定的生命保障,而瓣膜耐久性是直接关乎患者后期是否需要二次手术的关键所在。全球首款预装干瓣的问世,为临床提供了全新的选择方案。厂家的15 年质保承诺,是源于材料研发的突破与临床验证的底气。从临床角度,如未来瓣膜可以耐久15年,则可大大减少患者反复就医的身心负担与经济压力,本质上是为患者的长期健康 “投保”。 人生的每一次选择,都需要慎重。相信在行业的前行中,我们不断探索医疗的可能性,让每一次治疗都能真正护航患者长远健康! 患者病史 主诉与现病史:3 年前开始出现胸闷、气促,活动后(如上楼、上坡)症状加重,休息后可缓解,当地医院心脏彩超提示主动脉瓣狭窄,未予特殊治疗;2 年前发现血压轻度升高,口服阿奇沙坦片(40mg,每日 1 次)降压,血压控制尚可;近 1 个月胸闷气促症状明显加重,2025 年 10 月 13 日外院心脏彩超提示主动脉瓣重度狭窄,为进一步诊治入院。 既往史:高血压病史 2 年,规律服用阿奇沙坦片(40mg qd);1 年余前因外伤致腰椎骨折,保守治疗后痊愈;有慢性阻塞性肺疾病病史;有胃窦糜烂、十二指肠球部溃疡史,2023 年曾发生急性上消化道出血;有真菌性食管炎、多发性结肠息肉病史。 术前超声提示:主动脉瓣钙化,主动脉瓣狭窄(重度),左室肥厚,升主动脉增宽。 二尖瓣反流(轻度),三尖瓣反流(轻度),肺动脉瓣高压(轻度)。 左室舒张功能减低,收缩功能正常,左室射血分数 74.7%。 术前CT:Type0型二叶瓣,瓣叶增厚并极重度钙化,钙化主要分布在瓣叶基底部,延伸到左室流出道。主动脉瓣环径24.8mm;升主动脉狭窄后扩张至主动脉弓,双侧瓣叶开口高度可,窦部空间可,STJ内径增宽,升主动脉内径可,预估冠脉低风险;主动脉水平夹角49.1°,非横位心;主动脉弓角、弓距可;“自杀左室”,建议术前补液,ECMO湿备,术中注意循环崩溃。 外周双侧入路内径可,髂总动脉有零星散状钙化,双侧股动脉均能通过20F大鞘,右股低分叉。 手术策略:推荐使用右侧股动脉为主入路,左侧股动脉为辅助入路;右股分叉上方1cm穿刺;推荐使用18mm球囊预扩,预装AV23瓣膜。 手术过程:在右股动脉穿刺建立通路后,顺利送入大鞘,经食道超声及血管造影确认路径稳定。18mm球囊预扩后评估冠脉灌注良好,后将Prostyle A® AV23瓣膜精准释放于目标位置,20mm球囊后扩,超声显示轻微瓣周漏,术后即刻造影显示无明显反流,峰值压差由术前的80mmHg降至12mmHg,心功能明显改善,患者生命体征平稳。 18球囊预扩无腰无漏 输送器跨瓣顺利 定位 平稳释放瓣膜 20球囊后扩 最终造影,位置良好,轻微瓣周漏 Prostyle A®预装干瓣——助力临床最优化解决方案 1、流入端桶状设计:流入端桶状的设计,锚定迅速,有效减少释放步骤,提升植入稳定性; 2、平衡的收腰设计:二叶瓣小心室患者对瓣膜径向支撑力提出更高要求,Prostyle A®均衡的收腰设计可更好适应小瓣环及不规则瓣口结构,保证了EOA,有效降低了循环崩溃风险,提高瓣膜的耐久性; 3、预装干瓣 便捷顺安:金仕生物专利抗钙化技术运用纳米技术去除组织内的细胞碎片和磷脂,封闭游离醛基,从根本上阻断了瓣膜钙化的多项因素,显著提升了瓣膜的耐久性;同时,相比较传统戊二醛保存方式,干式存储最大限度的保留心包的亲水亲油平衡,还原组织天然曲柔性,进一步保障了瓣叶开合,保证长期耐久性; 专家简介 彭小平 南昌大学第一附属医院(点击查看专家详细简历) · END ·








