时间:2025-12-31 来源:本站 访问量:1001
近日,南方医院增城院区心内科修建成、崔凯教授团队,成功使用预装干瓣ProStyle A®完成首批临床应用,为一名主动脉瓣生物瓣衰败患者行VIV手术,此次手术的成功,不仅是南方医院增城医院心内科技术实力的又一次证明,更推动了我国复杂瓣膜疾病治疗进入 “精准化、耐久化” 新范式,标志着这款创新器械在全国范围内的首批临床应用落地;以技术革新为瓣膜疾病患者带来了更安全、更持久的“心”希望。
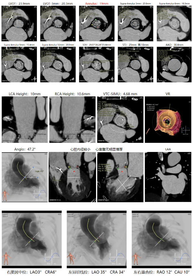
修建成教授 南方医科大学南方医院(点击查看专家详细简历) 直面瓣膜衰败,选对每一步护心路:前不久的ESC会议重磅发布瓣膜指南更新,将TAVR的患者年龄下调到70岁,且整体治疗理念迈向终身管理。该患者经历过一次外科手术,在人生70岁的当口,因生物瓣衰败再度面临 “心” 之困境,选择总是人生的一个重要课题,患者需要更微创的疗法、更耐久的瓣膜,医学的进步都是在主动探索中往前推进的,我们遵从患者的选择,不再被动应对衰败,而是主动定义瓣膜生命周期的边界。 手术一切按照既定的预演完成,术后患者情况良好,这不仅是一台手术的成功,更是将复杂瓣膜治疗推向 “精准化、耐久化” 新境序章,从瓣膜释放的瞬时血流动力学到远期抗钙化性能的预判,每一个参数都在诉说对长效生存的敬畏! 崔凯教授 南方医科大学南方医院(点击查看专家详细简历) 万千临床难题,唯提纲挈领方得始终:生物瓣衰败、心脏腔室小,这些问题都给手术添了不少难点。我始终觉得,需根据患者情况定手术方案,选择最合适的器械,综合考量:全新上市的预装干瓣开启了瓣膜心时代,预装技术让瓣膜装配标准化,规避了装载可能存在的肉眼不可见的损伤,干式储存技术规避了传统湿瓣的储存条件的钙化源头。可以说,为瓣膜的耐久性本身又增添了砝码。 对于衰败后的70岁患者,需要考量其长期耐久性问题,全新的产品需提前熟悉其产品特性;实践创新是心里装着对生命的敬畏,才能在复杂手术里找到办法。手术刀处理的不只是病,更是在跟时间赛跑,帮患者找希望。我们始终在找能让患者长期好好活下去的最好办法! 患者病史 现病史:患者近1月余前开始出现活动后胸闷、气促,爬楼、快走即可出现,休息后数分钟可缓解,至我院查心脏超声,提示:主动脉瓣生物瓣置换术后;主动脉瓣位生物瓣前向血流速度增快;左房增大,室间隔与左室后壁增厚,左室舒张功能降低,右房、右室内起博器电极线存留,二尖瓣返流轻中度,三尖瓣返流轻中度,肺动脉高压,心包积液(微量) 既往史:平素身体一般,有高血压1年,规律服用氨氯地平降压,有风湿性心脏病史,2011年行主动脉瓣生物瓣置换术;2011年植入双枪起搏器,2019年更换起搏器电池 超声提示: 主动脉瓣生物瓣置换术后;主动脉瓣位生物瓣前向血流速度增快,提示狭窄 左房增大,室间隔增厚,升主动脉增宽 右房、右室内起搏器电极线存留 三尖瓣反流(中度)二尖瓣反流(轻度) 肺动脉高压 左室射血分数正常 术前CT 生物瓣衰败ViV,原瓣膜内径19mm,LVOT23.9mm,靠原有框架锚定; 双侧冠脉开口高度可,窦部空间较大,VTC-SIMU:4.68,无冠脉风险;心脏角度47.2°; 心腔内径较小,心室壁无明显增厚,术中有循环崩溃可能; 右侧髂总动脉处有散在钙化,外周双侧入路无明显迂曲,双侧内径可,低分叉,主动脉弓距弓角条件良好; 手术策略:推荐右侧股动脉为主入路;生物瓣衰败ViV;球囊不预扩,22mm球囊后扩,预装可回收AV23主动脉瓣膜,瓣下5mm初始定位释放,工作位充分评估,符合释放要求后无张力释放 手术过程 最终造影 术后即刻探查超声平均跨瓣压差10mmHg。 术后患者当天下地,48小时出院 Prostyle A®预装干瓣——助力临床最优化解决方案: 1.平衡收腰:该患者生物瓣环较小,瓣膜型号需计算精准,Prostyle A 23号瓣膜平衡的收腰设计,兼顾血流动力学与冠脉安全; 2.柔顺过弓:较细的输送器尺寸+亲水涂层,在入路存在钙化的情况下,也能安全通过,过弓顺利,显著降低了血管并发症风险; 3.预装干瓣 便捷顺安:金仕生物专利抗钙化技术运用纳米技术去除组织内的细胞碎片和磷脂,封闭游离醛基,从根本上阻断了瓣膜钙化的多项因素,显著提升了瓣膜的耐久性;同时,相比较传统戊二醛保存方式,干式存储最大限度的保留心包的亲水亲油平衡,还原组织天然曲柔性,进一步保障了瓣叶开合,保证长期耐久性; · END ·




主动脉根部造影
器械过弓柔顺
80%工作位评估
22mm球囊后扩(1.0倍速播放)


