时间:2025-12-30 来源:本站 访问量:1001
近日,在中山大学附属第一医院医学部主任、党总支书记廖新学的统筹指导下,心内科庄晓东教授联合心脏超声科主任姚凤娟、麻醉科黄贤君教授等,成功使用预装干瓣ProStyle A®完成首批临床应用,该患者为Type1型二叶瓣,手术的成功开展标志着预装干瓣在二叶瓣类型患者临床应用中又迈出了关键且坚实的一步,为患者带来“更耐久”的心希望。

廖新学教授
中山大学附属第一医院(点击查看专家详细简历)
聚力技术突破,筑牢心血管健康防线:作为医院管理者,我们始终将患者诉求放在核心位置,持续探索心血管诊疗的创新路径。干瓣作为 TAVR 领域的全新创新成果,其优异的抗钙化能力,有望为患者带来更持久的治疗效果,从根本上减少二次手术的可能性,让每一位满怀期盼的患者免受反复就诊的困扰。我们坚信,高品质医疗不仅要确保治疗效果,更要兼顾民生可及性。推动这类创新技术落地临床,既能为普通家庭减轻医疗开销,也能通过降低医疗资源的重复消耗,为打造高效经济的医疗体系贡献力量。这既是对医疗为民理念的坚守,更是以技术进步守护大众健康的坚定行动。
庄晓东教授
中山大学附属第一医院(点击查看专家详细简历)
精研为基 毫厘之间 全局在胸:手术台上的你我,自有一套自己的心得,于我而言——手术无分大小更无论难易,核心在于以严谨立基、以全局谋篇。
术前评估,是影像数据与临床信息编织成的完整图景——既要捕捉病灶的细微特征,也要锚定患者年龄、体质、合并症等,纳入全局考量,让每个决策都有立体依据;其中,器械的选择,以“患者适配度”为核心标尺,考量产品的通过性、稳定性与长期效能,让器械的性能优势精准对接临床需求,综合考量方能让手术方案贴合患者的“生命特质”。术中操作,毫厘精准的操作即是演练后的精准执行;术后随访,更是从用药调整到生活指导,始终以患者全程获益为圆心。
“细处较真、全局考量”的临床思维,是对每个生命的郑重承诺。也期待”更耐久“的预装干瓣,为生命注入更周全的保障!
患者病史
主诉:反复活动后胸闷,气促1年余;
既往史:否认高血压、糖尿病、冠心病病史;
体格检查:T36.4°,P99次/分,R20次/分,BP128/82mmHg;
实验室检查:NT-proBNP,79.5pg/ml;TnT-T:0.005ng/ml;Hb133g/L ,PLT228;随机血糖:7.8mmol/L;Cr:59umol/L;
ECG:窦性心率;轻度ST压低;T波异常(可能侧壁心肌缺血);
术前超声提示:主动脉瓣狭窄(重度)并关闭不全(轻微);升主动脉明显增宽;室间隔增厚;
Vmax=4.77m/s,PG=91mmHg;
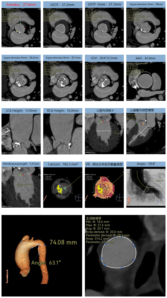
术前CT
Type1型(L-R)二叶瓣,瓣环径27.6mm,LVOT27.2mm,瓣上限制逐渐加重,火山口预估大小24mm,瓣上限制重;双侧冠脉开口高度可,瓣叶不长、窦部空间较大,无冠脉风险;重度钙化,钙化集中在无窦基底部及瓣叶边缘与L-R交界处,心脏角度59.8°;心腔内径可,心室壁无明显增厚,室间隔膜部较短,有一定PPI风险;外周入路无钙化、双侧入路无明显迂曲,左右股动脉内径可、中分叉,主动脉弓处有缩窄,弓距较短,过弓有一定难度。


手术策略
推荐右侧股动脉为主入路;建议20mm球囊预扩,23mm球囊后扩,预装可回收AV29主动脉瓣膜,瓣上3mm初始定位释放,工作位充分评估,符合释放要求后无张力释放,最终零位释放。
手术过程

主动脉根部造影

20球囊预扩

器械过弓柔顺

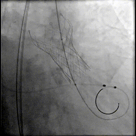
初始定位

释放瓣膜

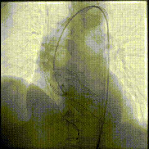
80%工作位评估

23球囊后扩

最终造影形态位置良好,轻微瓣周漏
术后压差降为0mmHg
Prostyle A®预装干瓣——助力临床最优化解决方案:
轻松过弓,精准可控:该病例弓角小,在未使用snare的情况下,轻松完成过弓,通过性能得到了很好的验证;
精准释放:该病例室间隔膜部较短,需精准释放到位,减少PPI发生可能性;其底部桶状设计更易迅速锚定,协同释放张力小,助力最终精准释放;
预装干瓣,便捷顺安:金仕生物专利抗钙化技术运用纳米技术去除组织内的细胞碎片和磷脂,封闭游离醛基,从根本上阻断了瓣膜钙化的多项因素,显著提升了瓣膜的耐久性;同时,相比较传统戊二醛保存方式,干式存储最大限度的保留心包的亲水亲油平衡,还原组织天然曲柔性,进一步保障了瓣叶开合,保证长期耐久性。
