时间:2025-12-30 来源:本站 访问量:1001
近日,南方医科大学南方医院心内科修建成教授团队,成功使用预装干瓣ProStyle A®完成首批临床应用,为一名 Type1 型二叶瓣小瓣环患者精准解除主动脉瓣重度狭窄困境。此次手术的突破,不仅标志着结构性心脏病介入治疗在复杂病例中实现技术升级,更以创新器械与临床智慧的深度融合,为患者带来兼具安全性与长期耐久性的 “心” 希望。
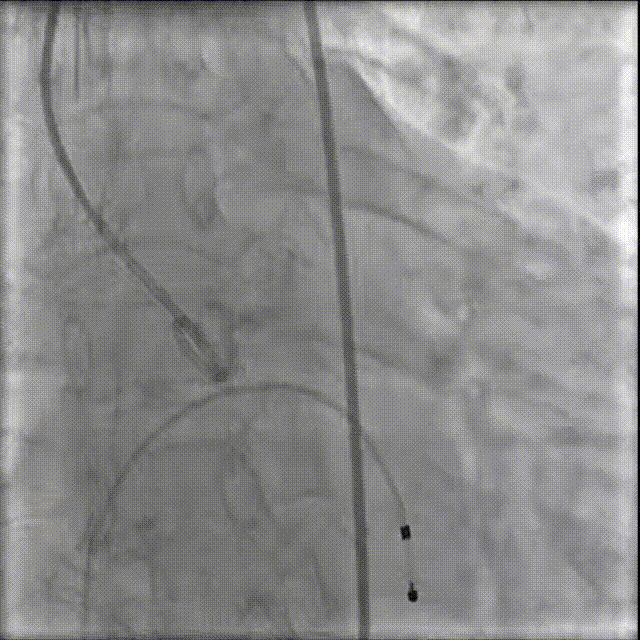
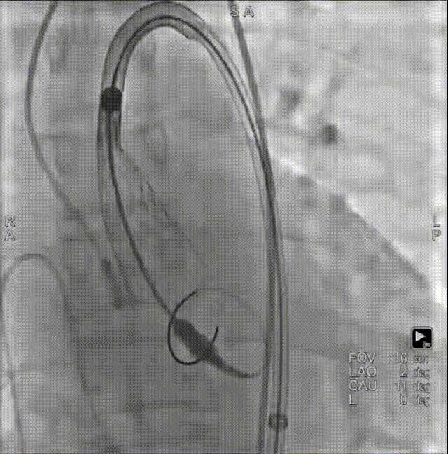
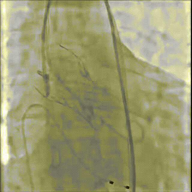
修建成教授 南方医科大学南方医院(点击查看专家详细简历) 细微之处防未然,创新携手寸寸安: 愈知临床无小事,任何风险的蛛丝马迹,都可能牵动全局。我常对团队说,真正的严谨,是将所有潜在 scenario 视作必然,在术前便一一拆解、化解 —— 如同在堤坝溃决前便筑牢每一寸基石,让风险连萌芽的机会都没有。 此次应用全球首创的预装干瓣,是基于对患者的综合考量,拥抱创新,实践创新,让创新携手助力“万全之策”的重要环节。 术前推演需要结合器械的特性:深度了解才能得心应手,结合患者基础病的相互影响并落实到术后 72 小时的并发症预警,每个环节都要像精密齿轮般咬合无误。这份 “穷尽万一” 的准备,从来不是对完美的苛求,看似耗时费力,实则是对生命最质朴的承诺 ——以医者的周全,携手创新的产品,为患者的万无一失不断努力! 患者病史 因 "反复胸闷伴活动后呼吸困难 3 年" 入院:患者 3 年前无明显诱因反复出现胸闷,部位在前胸,有憋气感,间有心悸,伴有活动后呼吸困难;外院就诊,查心脏彩超示 "主动脉狭窄、二尖瓣关闭不全"; 既往有高血压 20 余年,长期服用氨氯地平阿托伐他汀钙片降压治疗;有糖尿病 1 年,长期服用二甲双胍、阿卡波糖降糖治疗。 术前超声提示:主动脉瓣增厚、钙化并狭窄(重度)及关闭不全(轻度) 术前超声提示:主动脉瓣增厚、钙化并狭窄(重度)及关闭不全(轻度) 术前CT Type1型(R-N)二叶瓣,中度钙化集中在左窦瓣叶边缘及右无交界处,主动脉根部直径21.6mm,LVOT直径22.2mm,瓣上限制逐渐增大;双侧冠脉开口高度可,瓣叶短,窦部宽度足够,双冠VTC空间>4mm,预估冠脉风险小。 左室腔小,室间隔膜部短,有一定PPI风险;外周双侧入路无明显迂曲,双侧髂外动脉存在散在钙化、股动脉直径大,右股低分叉,能够支持20F大鞘通过。 手术策略 推荐右侧股动脉为主入路,放置20F大鞘,左侧为辅助入路,常规穿刺;使用20球囊预扩,预装AV23瓣膜;左右重叠位:RAO 1° CAU 28° ;右窦居中位:LAO 22° CAU 0° ;左冠切线回调:LAO 35° CRA 17° ;心室小,术前术中积极补液调整容量,做好循环崩溃处理准备。 手术过程 主动脉根部造影 20mm球囊预扩 - 无腰无漏 瓣膜初始定位 工作位观察瓣膜 - 冠脉通畅,位置合适 最终造影观察 - 无瓣周漏、挂钩处于最右方-Commisural Alignment 术前压差120mmHg,术后压差2mmHg。 Prostyle A®预装干瓣——助力临床最优化解决方案: 平衡的径向支撑力:该病例为TYPE 1型二叶瓣,对产品的径向支撑力是一种考验,术后影像彰显Prostyle A®综合设计带来平衡的径向支撑力,轻松应对高钙化病变,符合中国国情,为二叶瓣患者带来信心保障; 轻松过弓,精准可控:该病例主动脉弓角度可,但弓距小,考验产品的通过性能,术中顺利过弓,未使用snare轻松过弓; 预装干瓣 便捷顺安:金仕生物专利抗钙化技术运用纳米技术去除组织内的细胞碎片和磷脂,封闭游离醛基,从根本上阻断了瓣膜钙化的多项因素,显著提升了瓣膜的耐久性;同时,相比较传统戊二醛保存方式,干式存储最大限度的保留心包的亲水亲油平衡,还原组织天然曲柔性,进一步保障了瓣叶开合,保证长期耐久性。








