时间:2021-05-10 来源:严道医声网 访问量:8595

患者为80岁男性,主因“反复活动后气促2年余”入院。
主动脉瓣重度狭窄伴轻度关闭不全,主动脉瓣PGmean:34mmHg、Vmax:4.0m/s,瓣口面积0.61cm,LVEF:76%,二尖瓣中度关闭不全,三尖瓣轻中度关闭不全,肺高压(轻度)。
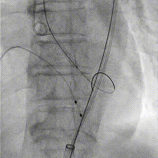
王焱教授、王斌教授及其团队对该病例进行了专题探讨,该病例为老年男性,主动脉瓣重度狭窄,术前心功能差。CT及经食道超声提示二叶式主动脉瓣,瓣膜钙化较轻,瓣叶开放活动僵硬,高流速重度主动脉瓣狭窄伴轻度关闭不全,主动脉弓长度可,瓣环角度为57°,瓣口面积0.61cm,双侧股动脉直径可,综合评估考虑右股动脉更适宜为主入路。经过团队严谨的评估及充分的讨论,决定先行18mm球囊充分预扩并进行瓣环测量,并准备TAV23规格的ProStyle预装式可回收TAVR系统。
患者手术过程顺利,予球囊预扩后,由于瓣膜反流加重患者血压迅速降低,凭借过硬的高超技术与紧密的团队合作,王焱教授团队对他立即经右股动脉植入人工瓣膜一枚,血压即刻回升,行造影及超声评估提示人工主动脉瓣瓣膜植入效果良好,二尖瓣中度返流即刻减轻为轻度。术后TTE显示:主动脉瓣无瓣周反流,PGmean:18mmHg,Vmax:2.1m/s 经导管测量PGmean:7mmHg。患者术后恢复顺利,无心脏及血管并发症。


患者术后第二日可下地行走,第三日已经转回普通病房(5月6日),手术入路创口已经愈合,拟近日出院。
由金仕生物科技研发的第三代介入主动脉瓣ProStyle,是全球第一款预装干瓣膜可回收系统,也是全球第一个进入NMPA注册临床试验的可回收预装瓣膜,标志着自主原创国产介入瓣的发展进入新的里程。
值得一提的是,ProStyle瓣膜具有如下特点:
1) 其采用目前世界上先进的MicroEX心包处理技术,有效的覆盖生物材料的钙结合位点,为牛心包材料提供了更加优异的抗钙化和生物力学性能,为介入瓣的长期耐久性提供了坚实的保障。
2) Prostyle创新性的采用半预装的专利技术设计,干瓣在植入前处于展开的自然状态,极大的保障了瓣膜纤维组织的完整性和力学特性,在手术开始时,仅需要3分钟,就可以完成瓣膜植入前的准备,极大的方便临床使用及瓣膜运输,而且干瓣不含醛残留,具更好的生物安全性;
3) Prostyle还集成多项核心技术,输送系统具较小的直径(16F-18F),瓣膜可完全回收/重新定位、具有防瓣周漏裙边和内置鞘设计。
随着介入瓣膜的迭代发展,产品的重心已开始从早期的高危患者向中低危患者的转移,这对新一代介入瓣的即刻使用性能和瓣膜本身的长期耐久性都提供了更高的要求。不同于传统的戊二醛处理的湿瓣,大量研究已经证实干瓣瓣处理技术能有效的提升瓣叶组织的抗钙化性能,提升瓣膜耐久性,瓣膜界巨头爱德华生命科学的全新一代外科植入瓣膜已经成功运用干瓣技术处理的牛心包材料,效果拔群,同样作为一家拥有多年研发经历,涉足外科植入瓣膜及介入瓣膜产品的高科技创新公司,金仕生物首次将牛心包干瓣材料应用于自膨胀TAVR瓣膜,为TAVR领域带来又一次技术性突破。
| 目前,厦门大学附属心血管病医院(厦门心脏中心)参与ProStyle的全国多中心NMPA规范性临床研究(包括FIM及确证性临床研究),在部分经济困难的适宜主动脉狭窄患者中,经核心实验室评估符合入选标准,可免费享受瓣膜的免费捐赠,为广大主动脉狭窄患者带来福音。 |
