时间:2025-12-31 来源:本站 访问量:1001
近日,安徽省胸科医院心内科许金鹏教授团队成功开展全球首款预装干瓣ProStyle A®的全国首批临床应用,为结构性心脏病患者带来全新治疗选择。该手术全程高效顺畅,瓣膜释放精准稳定,术后即刻造影显示无反流,跨瓣压差显著改善,患者血流动力学显著优化,临床症状明显缓解。作为全球首个预装干式瓣膜系统,ProStyle A®极大简化了手术准备流程,标志着我国经导管主动脉瓣置换技术迈入更安全、便捷的新阶段!

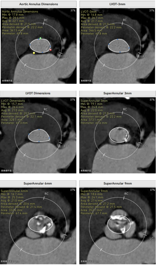
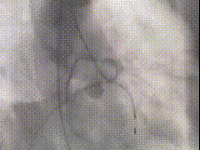
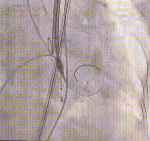
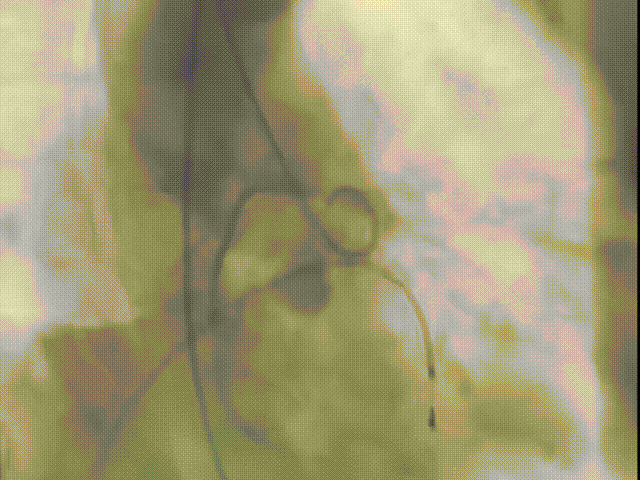
许金鹏教授 安徽省胸科医院 干瓣耐久首选之,15年承诺佑病患:随着病患的复杂性提高及TAVR二次手术窗口期的慢慢到来,摆在临床面前的是如何提升瓣膜使用的耐久性?预装干瓣的获批上市无疑为临床提供了全新的选择。预装干瓣摆脱了传统戊二醛保存的束缚,通过专利抗钙化技术及干式保存工艺打造了一款兼具“曲柔性”和“不沾钙”瓣叶的介入瓣,预期会有更耐久的使用寿命。此次病例患者小瓣环,Prostyle A®自膨瓣的收腰设计,为冠脉开口预留了“生命通道”,而平衡的收腰设计又很好的保证了开口面积,为小瓣环患者血流动力学提供的牢靠的保障。 期待这样一款基于临床需求的性能平衡的耐久干瓣,护佑 TAVR广大患者的全生命周期管理! 患者病史 主要诊断:非风湿性主动脉瓣狭窄(重度);非风湿性主动脉瓣关闭不全(中度);非风湿性二尖瓣关闭不全(中度);心脏扩大(左房明显扩大、左室略大);肺动脉高压(估测肺动脉收缩压约 39mmHg);胸椎压缩性骨折(T9 椎体,考虑新鲜);肺部阴影(两肺慢支改变、多发结节);胆囊术后; 入院检查:BP 109/60mmHg、心率 77 次 / 分(律齐),神清精神可,口唇不绀。 术前超声提示 主动脉瓣钙化并狭窄(重度)伴反流(中量),Vmax509cm/s,PGmax105mmHg;升主动脉增宽;左房明显增大,左室略大;二尖瓣关闭不全伴反流(中+量);瓣尖轻微增厚;室间隔增厚; 术前CT 三叶瓣(L-N融合,功能型二叶瓣),瓣叶增厚中度钙化,钙化主要分布在左冠窦瓣叶边缘及左无融合处、右冠瓣叶基底及边缘,主动脉瓣环径22.2mm,LVOT21.1mm,呈略直通型;双侧冠脉开口高度可,窦部空间大,VTC距离够,预估冠脉低风险,STJ、升主动脉内径可;左室内径可,主动脉水平夹角47°,非横位心。主动脉弓角弓距可;外周入路无明显迂曲,无钙化,两侧股动脉内径可,均可通过20F大鞘,右股低分叉。 手术策略 推荐右侧股动脉为主入路,左侧股动脉为辅助入路,使用20F大鞘,右股分叉上方1cm穿刺。推荐选择AV23瓣膜,18mm球囊预扩,最终理想位置瓣下2mm。 手术过程 在右股动脉穿刺建立通路后,顺利送入大鞘,经食道超声及血管造影确认路径稳定。18mm球囊预扩后评估冠脉灌注良好,后将Prostyle A® AV23瓣膜精准释放于目标位置,超声显示无瓣周漏,术后即刻造影显示无明显反流,导管测平均跨瓣压差8mmHg,心功能明显改善,患者生命体征平稳。 主动脉根部造影 18号球囊预扩 输送器顺利过弓 迅速锚定,平稳释放至工作位 最终造影,位置形态良好,无瓣周漏 Prostyle A®预装干瓣——助力临床最优化解决方案 预装干瓣 便捷顺安:金仕生物专利抗钙化技术运用纳米技术去除组织内的细胞碎片和磷脂,封闭游离醛基,从根本上阻断了瓣膜钙化的多项因素,显著提升了瓣膜的耐久性;同时,相比较传统戊二醛保存方式,干式存储最大限度的保留心包的亲水亲油平衡,还原组织天然曲柔性,进一步保障了瓣叶开合,保证长期耐久性; 流入端桶状设计:流入端桶状的设计,迅速稳定锚定,减少手术时间的同时进一步保障了术中安全; 平衡的收腰设计:该病例左冠高度10.8mm,AV23瓣膜的平衡收腰设计既确保了冠脉开口安全性,又保证了EOA,有效降低了循环崩溃风险,而术后8mmHg的压差的表现更加证明了优秀的血流动力学,进一步提高了瓣膜的耐久性。 专家简介 许金鹏 安徽省胸科医院(点击查看专家详细简历) · END ·










