时间:2025-12-31 来源:本站 访问量:0
在成人复杂心脏瓣膜病手术中,传统股动脉入路常面临血管条件不佳(如痉挛、钙化、低分叉)的挑战,此时替代入路的选择与适配器械的应用成为突破手术瓶颈的核心。在广东省人民医院心内科荆志成教授、罗建方教授的带领下,谢年谨教授、刘勇教授团队针对一例主动脉瓣退行性病变伴中重度狭窄并轻度返流患者,在术中右股动脉痉挛无法继续操作的情况下,采用左腋动脉作为替代入路,并植入ProStyle A®预装干瓣,最终实现瓣膜精准释放与血流动力学即刻改善。本文将系统梳理该手术的路径选择逻辑、操作细节及疗效,为临床复杂入路瓣膜置换术提供实践借鉴。
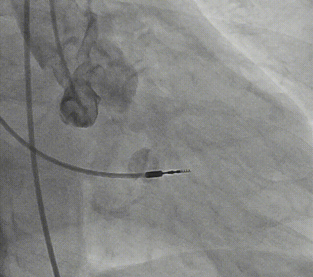
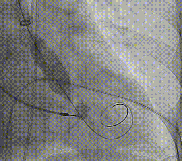
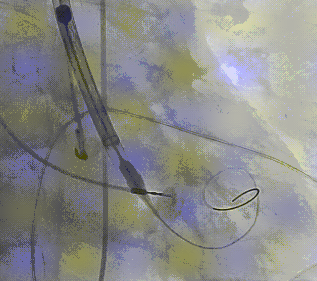
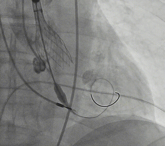
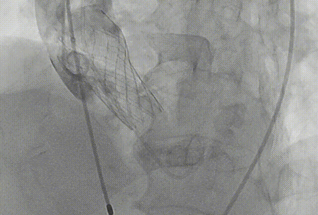
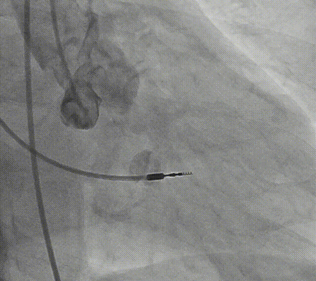
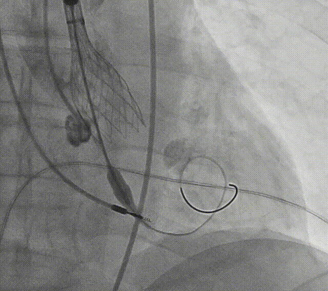
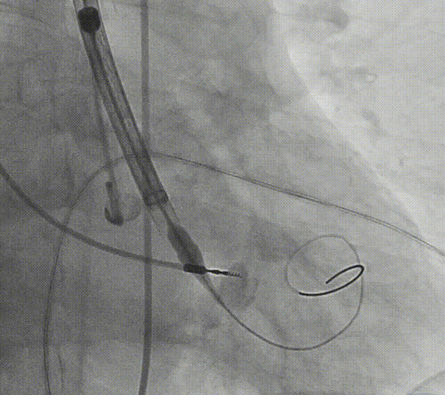
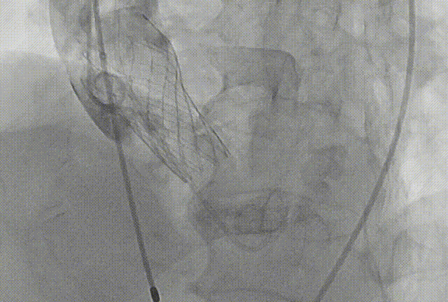
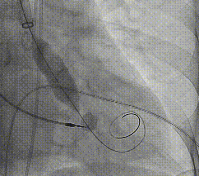
患者病史 术前超声提示:主动脉瓣退行性病变;中-重度狭窄并轻度返流;中-重度三尖瓣返流;中度肺高压 术前CT 三叶瓣,瓣叶增厚轻度钙化,右无交界有粘连,预计可以扩开,主动脉根部直径23.7mm,LVOT直径24.3mm,呈直筒型;双侧冠脉开口高度可,瓣叶长度小于冠脉开口上缘到主动脉根部的距离;窦部空间可,STJ、升主动脉内径可;主动脉水平夹角43.6°,非横位心;主动脉弓角、弓距可,左室内径可;外周入路无明显迂曲,有零星散状钙化,双侧股动脉内径可,均能通过20F大鞘,右股低分叉。 手术策略 推荐右侧股动脉为主入路使用20F大鞘,左侧股动脉为辅入路,右股分叉上方1cm穿刺;推荐使用22mm球囊预扩,预装AV26瓣膜,备AV29瓣膜,初始定位为真实瓣环上方3mm,瓣膜释放过程中释放张力使其自然下滑,工作位观察瓣膜稳定性,最终理想位置为零位;左右重合位:RAO23°CAU32°;右窦居中位:LAO5°CAU12°;左冠切线位:LAO34°CRA14°。 手术过程 术中右股动脉痉挛,内径变为3.8mm,遂更换左腋动脉入路;18球囊预扩,后植入AV26 ProStyle A®瓣膜;瓣膜精准释放于目标位置,超声显示无明显瓣周漏,血流动力学即刻改善。 术中右股动脉痉挛,内径变为3.8mm,更换左腋动脉 主动脉根部造影 18球囊预扩 初始定位 工作位观察 术后即刻表现:无瓣周漏,术后峰值压差10mmHg 术后3天复查超声峰值压差14mmHg Prostyle A®预装干瓣——助力临床最优化解决方案: 轻松过弓,精准可控:该病例经左腋动脉入路,输送系统较细的尺寸+柔顺的输送系统通过性能得到了很好的验证; 释放稳定:平衡的径向支撑力降低了释放过程中的张力,流入端小锥角设计能够迅速锚定贴边,80%可回收使得观察位和释放后的位置差距减少,大大提高了释放过程中的精准性,能够轻松应对高难度病例; 预装干瓣 便捷顺安:金仕生物专利抗钙化技术运用纳米技术去除组织内的细胞碎片和磷脂,封闭游离醛基,从根本上阻断了瓣膜钙化的多项因素,显著提升了瓣膜的耐久性;同时,相比较传统戊二醛保存方式,干式存储最大限度的保留心包的亲水亲油平衡,还原组织天然曲柔性,进一步保障了瓣叶开合,保证长期耐久性; 谢年谨教授 广东省人民医院 谢年谨教授指出:“对于外周血管条件较差的心脏瓣膜病患者,腋动脉路径凭借其更直接的解剖通路与更稳定的输送环境,为手术安全提供了重要保障,尤其适用于股动脉入路失败的复杂病例。该路径不仅能显著降低血管损伤、出血等并发症风险,还能通过更清晰的操作视野提升手术成功率;尤其在高龄、动脉硬化严重的患者群体中,腋动脉路径的适应性优势更为突出。 专家简介 荆志成 广东省人民医院 谢年谨 广东省人民医院 刘勇 广东省人民医院 · END ·












