时间:2025-12-30 来源:本站 访问量:1001
在“实战、创新、探索” 核心理念的引领下,2025北京瓣膜会盛大开启,为全球瓣膜病介入领域搭建起学术交融的高端平台。此次盛会汇聚了众多国内外结构性心脏病领域的权威专家,大家齐聚一堂,共同回顾瓣膜病介入医学的发展历程,积极展望未来,携手探寻学科发展的全新方向。
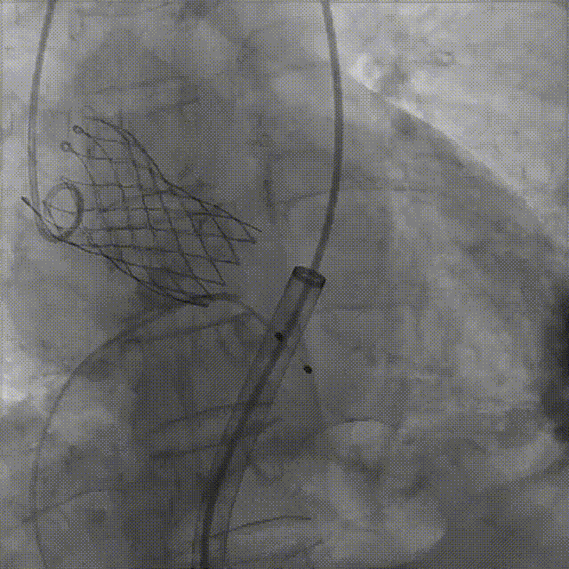
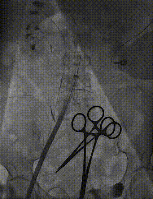
手术直播环节作为大会的重要实战环节,更是注入了创新与探索的DNA,宋光远教授领衔的北京安贞医院心脏瓣膜病介入中心团队成功完成预装干瓣Prostyle A®全国首批植入。此次Prostyle A®的植入,不仅是对前沿技术的率先探索,更是以创新技术破解临床难题的,让前沿成果真正服务于患者的践行。

宋光远教授 首都医科大学附属北京安贞医院(点击查看专家详细简历) 技术革新不止,创新求索不辍:一切从患者出发,不断追求创新是内心的坚定。当年‘ALL IN ONE’的探索,正是怀揣着这份初心 —— 通过整合器械与操作,将入路创伤缩至最小,让患者在微创中更快康复,这是技术对患者的温柔承诺。而术中脑保护,是我们为安全筑牢的另一道防线。 此次预装干瓣的临床应用,让我们直面瓣膜“耐久性“临床困境,期待创新技术助力全生命周期管理! 病例概览 患者病史 患者因 “劳力性呼吸困难半年余,加重 20 天” 入院。高血压病史 20 年,最高血压 160/110mmHg;高脂血症病史;反流性食管炎。 超声提示:主动脉流速 Vmax 4.66 m/s,平均压差 53mmHg,左室射血分数(LVEF)40%; 超声诊断:主动脉瓣狭窄(重度)、主动脉瓣反流(轻中度)、二尖瓣狭窄(轻度)、二尖瓣反流(轻度)、三尖瓣反流(轻中度)、左房增大,左室肥厚。 术前CT 瓣环(Annulus)直径:22.9mm,左室流出道(LVOT)直径:周长径 23.8mm;总钙化负荷1239mm³(HU850),钙化集中于无冠窦,且蔓延至 LVOT,呈重度钙化表现;LVOT-Annulus 呈微直筒型,瓣上限制较重。左冠脉开口高度略低,瓣叶不长、窦部空间较大,结合钙化分部情况,预估双侧冠脉遮挡风险较低。室间隔膜部较短(2.4mm)有一定PPI风险,心室大小可,心脏角度64°,升主长度短于胶囊腔长度,同轴有一定困难。 · 造影角度及入路情况:主动脉弓角度可,但降主动脉折曲明显,双侧髂股动脉存在粥样硬化。 手术策略 采用 “极简式” 手术方案:18/20mm 球囊预扩张,植入金仕生物 Prostyle-A 预装干瓣(AV 26),配合长鞘,同时植入脑保护装置以降低卒中风险。 手术过程 球囊预扩:18号球囊预扩 输送系统顺利过弓跨瓣: 瓣膜植入:工作位观察位置适宜,完成植入。 术后即刻:术后造影显示瓣膜位置佳 入路与血管:撤出大鞘后检查,降主动脉仍存在较大弯折;入路闭合良好,无明显出血或血管并发症。 Prostyle A®预装干瓣——助力临床最优化解决方案: √ Mircro-EX™专利抗钙化技术:极简式预装干瓣,不使用戊二醛浸泡,减少钙化成因,干态存储的瓣膜术中无需清洗瓣膜,减少组装步骤,缩短手术时间,尤其适合复杂病例中的高效操作; √ 平衡的径向支撑力:重度钙化的患者,形态展开良好,在横位心等复杂情况下实现稳定锚定及释放; 专家简介 苑飞 首都医科大学附属北京安贞医院(点击查看专家详细简历) 姚晶 首都医科大学附属北京安贞医院(点击查看专家详细简历) · END ·










