【病例分享】北京安贞医院孟旭团队风湿性二尖瓣修复病例分享(编码 004)
时间:2018-04-12   来源:安贞医院心外九 AAHVD心脏瓣膜病CN

640_1

    

风湿性心脏瓣膜疾病是我国最常见的心脏瓣膜病之一。就外科治疗方式而言,学界普遍认为风湿性瓣膜外科修复术,相比瓣膜置换术,能给患者带来更好生活质量和中远期预后:循证医学数据显示,风湿性瓣膜修复术,围术期死亡率低于换瓣术的一半,远期不良事件发生率为换瓣术的1/3,仅术后十年的生存率就超过换瓣术30%。

    

但目前国内风湿性瓣膜病成形修复术远未普及,修复术的比例不到10%,为了促进中国瓣膜修复外科的普及,改变医生和患者对修复手术的理念和认识,使更多的患者受益,北京安贞医院,北京心脏移植及瓣膜病诊疗中心孟旭教授团队,将连续发布100例风湿性瓣膜病修复真实病例,以分享技术经验。

文中图片为学术交流目的,有可能引起不适,请谨慎观看。


病例(4)


基本情况:


男性,39岁,主诉:胸闷气促10余年,加重不能平卧2月
手术日期:2018年11月30日

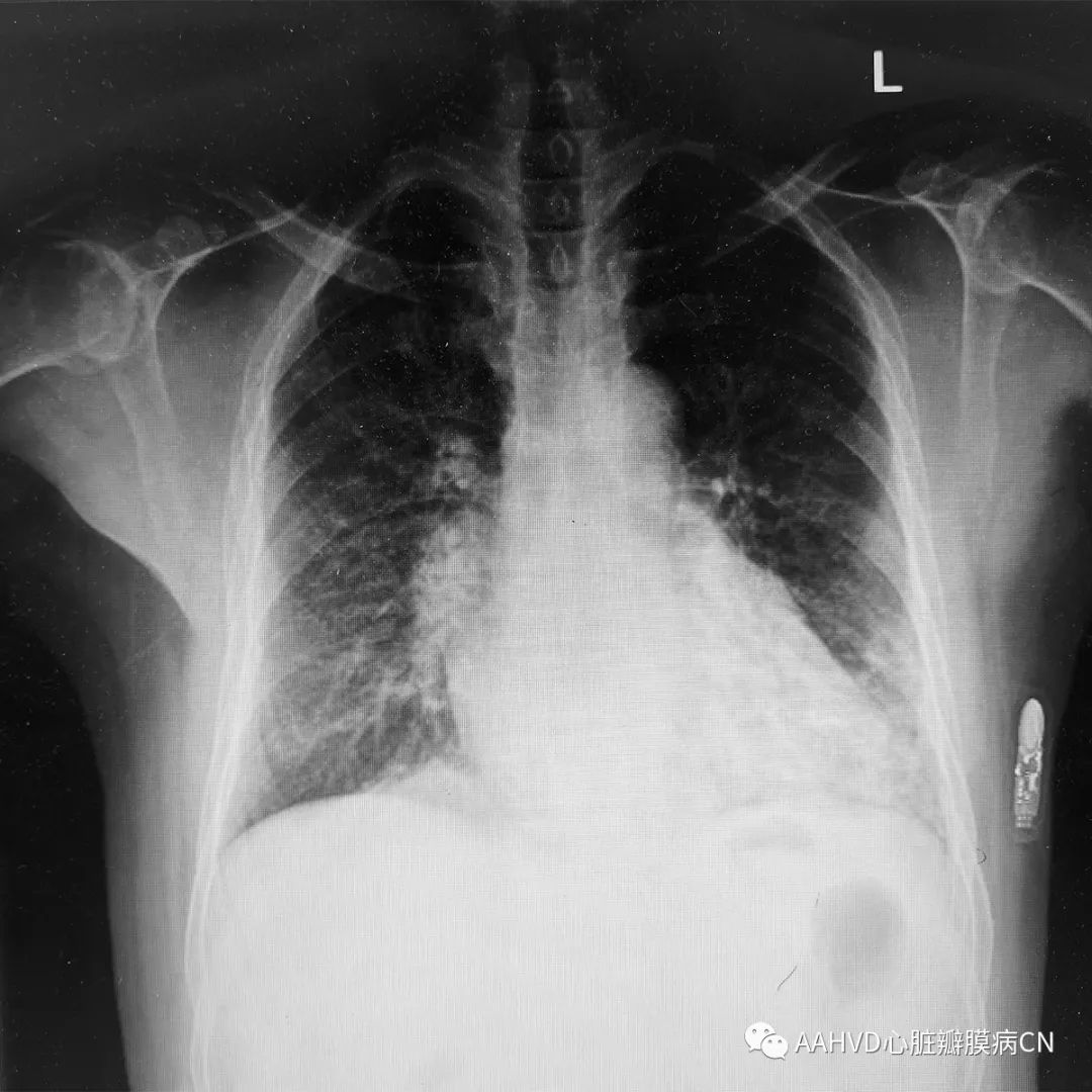
术前胸片

640_2

术前经胸超声:


风湿性心脏病,二尖瓣返流面积11.1cm²(重度返流),瓣口面积1.7cm²(轻度狭窄),前向流速101cm/s,主动脉瓣轻度狭窄并关闭不全。

术中情况:

640_3

二尖瓣前后叶瓣尖增厚、钙化、粘连,开放受限


640_4

二尖瓣瓣下腱索挛缩

640_5

成形后注水试验效果良好

手术方式:
二、三尖瓣成形


术后食道超声:
二尖瓣前向流速105cm/s,返流面积1.6cm²(微量);三尖瓣少量返流(1.3cm²)。

术后经胸超声:
二尖瓣瓣未见返流,前向最大流速 170 cm/s;三尖瓣少量返流,主动脉瓣轻度返流


术中阻断时间95分钟,转机时间120分钟


病例(5)


基本情况:
女性,51岁,主诉:胸闷憋气1月余
手术日期:2018年12月12日

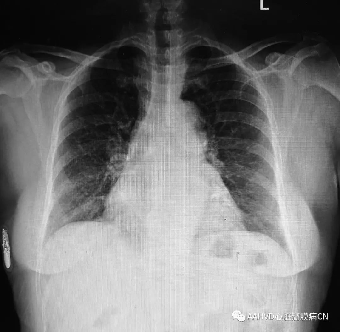
术前胸片

640_6

术前经胸超声:

风湿性心脏病,二尖瓣返流面积14.1cm²(重度返流),瓣口面积1.4cm²(重度狭窄),前向流速196cm/s,三尖瓣返流面积8.1cm²(中度返流)。室间隔基底段增厚(12cm)。

术中情况:
640_7

二尖瓣前后叶瓣尖增厚、钙化、粘连、开放受限


640_8

二尖瓣瓣下腱索挛缩

640_9


成形效果良好


手术方式:
二、三尖瓣成形


术后食道超声:
二尖瓣前向流速120cm/s,压差6mmHg,少量返流;左室流出道流速280cm/s,PG31mmHg。

术后经胸超声:
二尖瓣瓣口面积2.1cm²,前向最大流速 174 cm/s;三尖瓣少量返流


术中阻断时间90分钟,转机时间110分钟



(来源:安贞医院心外九、AAHVD 心脏瓣膜病 CN 微信公众号,金仕生物 元素力®心脏瓣膜成形环 向原作者致敬!仅供专业人士学习分享参考,侵告必删。)

元素力®心脏瓣膜成形环  1元素力®心脏瓣膜成形环  2